What Is a Heart Angiogram and When Should You See a Cardiologist for One?

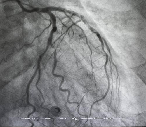
Left coronary angiography showing coronary arteries

At Virgin Islands Orthopaedics and Medical Specialists, serving patients in St. Thomas and St. Croix, VI, we evaluate cardiovascular symptoms using advanced diagnostic tools that help clarify risk and guide treatment. One of the most informative tests we use to assess coronary circulation is a heart angiogram, ordered when a cardiologist needs detailed information about blood flow to the heart.

What a Heart Angiogram Is

A heart angiogram is an imaging procedure that allows direct visualization of the coronary arteries. These arteries supply oxygen-rich blood to the heart muscle. During the procedure, contrast dye enters the bloodstream and highlights the arteries on specialized imaging. This process shows whether arteries remain open or contain narrowing or blockages that restrict blood flow.

What Happens During the Procedure

The procedure takes place in a controlled medical setting. We insert a thin catheter into a blood vessel, often in the wrist or groin, and guide it to the heart. Once in position, contrast dye flows through the coronary arteries while imaging captures real-time detail. Patients remain awake but comfortable throughout the procedure. Most angiograms take less than an hour to complete.

Why a Cardiologist Orders an Angiogram

A cardiologist recommends a heart angiogram when symptoms or test results suggest reduced blood flow to the heart. Common reasons include chest pain with exertion, abnormal stress test findings, shortness of breath without clear cause, or suspected coronary artery disease. The angiogram provides precise information that noninvasive tests cannot always deliver.

What an Angiogram Can Reveal

A heart angiogram identifies the location and severity of arterial narrowing or blockage. It also shows how well blood flows through each artery. This information helps determine next steps, which may include medication management, lifestyle changes, or interventional procedures such as stent placement. Accurate imaging allows treatment decisions to rely on objective findings rather than symptoms alone.

When You Should See a Cardiologist

Persistent chest discomfort, pressure with activity, unexplained fatigue, dizziness, or shortness of breath warrant evaluation. Individuals with risk factors such as diabetes, high blood pressure, high cholesterol, smoking history, or family history of heart disease benefit from early cardiology assessment. Timely evaluation reduces the risk of heart attack and long-term heart damage.

Recovery and Follow-Up

Most patients return home the same day after a heart angiogram. Mild soreness at the catheter site may occur briefly. Follow-up focuses on reviewing results and discussing a personalized treatment plan based on findings.

Schedule a Cardiology Evaluation

Virgin Islands Orthopaedics and Medical Specialists provides cardiovascular care in St. Thomas and St. Croix, VI. Call 340-714-2845 for the St. Thomas location or 340-692-5000 for St. Croix to schedule an appointment with a cardiologist and discuss whether a heart angiogram is appropriate.

St Thomas

340-714-2845

St Croix

340-692-5000

Our Locations

Find us on the map

Office Hours

Saint Thomas

Monday:

7:00 am-5:00 pm

Tuesday:

7:00 am-5:00 pm

Wednesday:

7:00 am-5:00 pm

Thursday:

7:00 am-5:00 pm

Friday:

7:00 am-4:00 pm

Saturday:

Closed

Sunday:

Closed

St. Croix

Monday:

8:00 am-5:00 pm

Tuesday:

8:00 am-5:00 pm

Wednesday:

8:00 am-5:00 pm

Thursday:

8:00 am-5:00 pm

Friday:

8:00 am-5:00 pm

Saturday:

Closed

Sunday:

Closed